أظهرت دراسة حديثة أن السرطان لا يقتصر تأثيره على الخلايا السرطانية نفسها، بل يمتد ليشمل الجهاز العصبي المركزي، وتحديداً الدماغ. حيث يعطل الدراسة تشير إلى أن السرطان يعطل الإيقاع اليومي الطبيعي الذي ينظم هرمونات التوتر والمناعة، وهو اكتشاف قد يفتح آفاقاً جديدة لدعم العلاجات الحالية وتحسين جودة حياة المرضى.
وقد أجريت هذه الدراسة من قبل باحثين في مختبر كولد سبرينج هاربور في الولايات المتحدة، وركزت على تأثير سرطان الثدي على الساعة البيولوجية للدماغ. ووجدت الدراسة أن السرطان يتسبب في خلل مبكر في هذه الساعة، مما يؤدي إلى اضطراب في مستويات هرمونات التوتر على مدار اليوم، وهو ما يرتبط بتدهور الصحة العامة وزيادة خطر الوفاة.
تأثير السرطان على الساعة البيولوجية للدماغ
أوضح الدكتور جيريمي بورنيجر، المؤلف الرئيسي للدراسة والأستاذ المساعد في المختبر، أن الدماغ يعمل كجهاز استشعار دقيق للتغيرات التي تحدث في الجسم. ومع ذلك، يعتمد الدماغ على التوازن الزمني الدقيق لنشاط الخلايا العصبية لكي يعمل بشكل صحيح. وأضاف أن أي خلل في هذا الإيقاع يمكن أن يؤدي إلى تغيرات واسعة النطاق في وظائف الدماغ.
ركز الباحثون بشكل خاص على هرمون الكورتيكوستيرون، وهو هرمون التوتر الرئيسي لدى القوارض، والذي يقابل هرمون الكورتيزول لدى البشر. في الظروف الطبيعية، يرتفع وينخفض هذا الهرمون وفقاً لدورة يومية منتظمة، مما يساعد الجسم على التكيف مع الضغوط المختلفة.
أظهرت التجارب أن سرطان الثدي يؤدي إلى تسطيح هذه الدورة اليومية للكورتيكوستيرون، مما يعني فقدان التباين الطبيعي بين مستويات الهرمون في الليل والنهار. والجدير بالذكر أن هذا الخلل ظهر في مراحل مبكرة جداً من المرض، حتى قبل أن تصبح الأورام واضحة.
الوطاء والنواة المجاورة للبطين: مركز الخلل
عند فحص الدماغ، اكتشف الباحثون أن الخلل يتركز في منطقة الوطاء، وتحديداً في نواة تسمى النواة المجاورة للبطين. هذه النواة هي جزء أساسي من المحور العصبي الهرموني الذي ينظم الاستجابة للتوتر، والمعروف باسم محور الوطاء-النخامية-الكظرية.
أظهرت الصور المجهرية أن الخلايا العصبية في هذه المنطقة كانت في حالة فرط نشاط مستمر، ولكنها في الوقت نفسه تنتج كميات قليلة من الهرمونات. وهذا يعني أنها كانت تعمل باستمرار دون أن تتمكن من تنظيم إفراز هرمون التوتر بشكل صحيح.
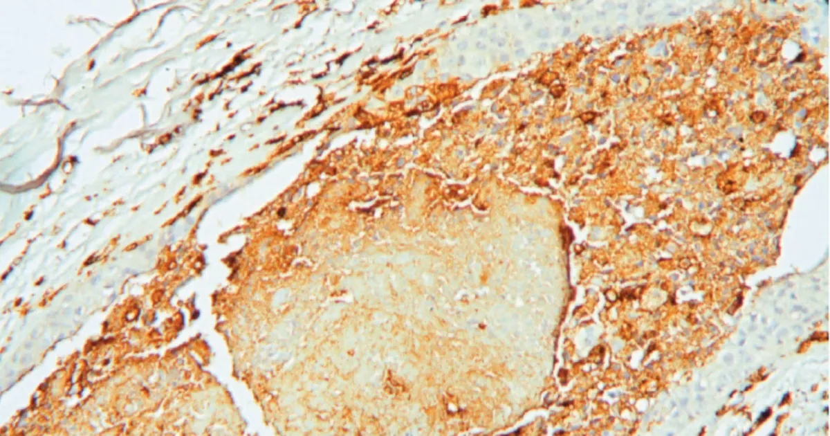
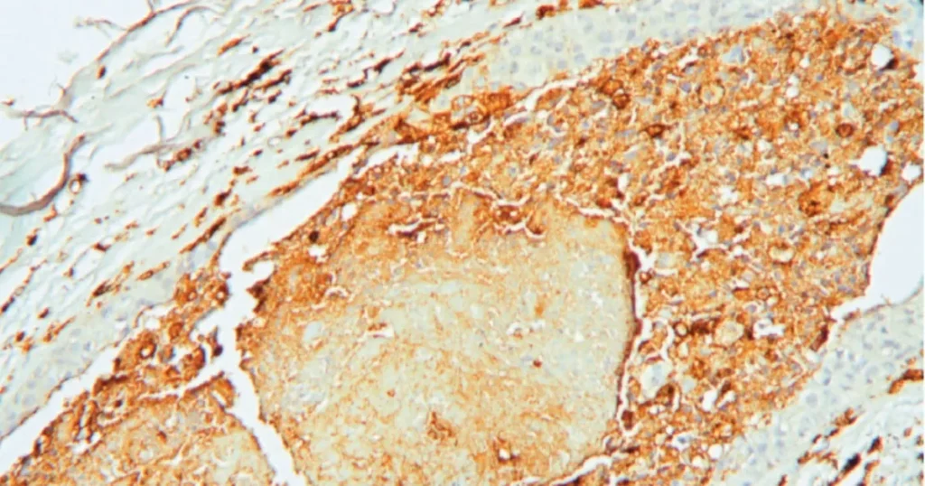
تعزيز الاستجابة المناعية ضد السرطان
في محاولة لإصلاح هذا الخلل، قام الباحثون بتحفيز هذه الخلايا العصبية بطريقة تحاكي الإيقاع اليومي الطبيعي. وقد نجحوا في استعادة النمط الطبيعي لإفراز هرمون التوتر. ولكن المفاجأة كانت أن التأثير لم يتوقف عند هذا الحد.
لاحظ الفريق أن إعادة ضبط الإيقاع دفعت خلايا مناعية مضادة للسرطان إلى التسلل إلى داخل أورام الثدي، مما أدى إلى تقلص حجم الأورام بشكل ملحوظ. وأشار الدكتور بورنيجر إلى أن هذا التأثير كان مرتبطاً بشكل وثيق بالتوقيت، حيث أن تحفيز الخلايا في وقت غير مناسب من اليوم لم ينتج عنه أي فائدة مضادة للسرطان.
ما يميز هذه النتائج هو أن الباحثين لم يستخدموا أي أدوية مضادة للسرطان في التجارب. بدلاً من ذلك، اقتصر التدخل على استعادة التوازن الفسيولوجي الطبيعي للجسم. وهذا يشير إلى أن تحسين وظائف الجسم الطبيعية يمكن أن يعزز قدرة الجهاز المناعي على محاربة المرض.
تتوافق هذه النتائج مع الملاحظات السريرية التي تشير إلى أن العديد من مرضى السرطان يعانون من اضطرابات النوم والقلق والإجهاد المزمن، وهي أعراض مرتبطة بخلل الإيقاع اليومي لهرمونات التوتر.
يعمل الباحثون حالياً على تحديد الآليات الدقيقة التي تستخدمها الأورام للتأثير على الدماغ وتعطيل إيقاعه الطبيعي. ويأملون في تحويل هذه المعرفة إلى تدخلات علاجية جديدة يمكن أن تساعد في تحسين نتائج العلاج وتقليل الآثار الجانبية.
من المتوقع أن تركز الأبحاث المستقبلية على تطوير طرق لتحسين التوازن بين الليل والنهار في الدماغ لدى مرضى السرطان، ربما من خلال تعديل أنماط النوم أو استخدام العلاج بالضوء. ومع ذلك، لا تزال هذه النتائج في مراحلها الأولية، وهناك حاجة إلى مزيد من الدراسات لتأكيد هذه النتائج وتحديد أفضل الطرق لتطبيقها على البشر.

